【专家种牙】就在家门口!
神湾医院口腔科种植修复成果显著,市级专家常驻帮扶
自2024年1月起,神湾医院与中山市口腔医院正式签署医联体协议,建立了紧密的“一对一”帮扶关系。近两年来,市口腔医院先后派出数十名资深专家常驻神湾医院,通过“传、帮、带”的形式,从技术水平、服务理念、质量管理等多个维度,为神湾医院口腔科进行了一次“全面升级”!这其中,种植修复技术的拓展与提升,成为了帮扶成果中最闪亮的名片。


中山市口腔医院神湾医疗中心
2024年5月19日,在中山市口腔医院专家的主刀下,神湾医院首例口腔种植手术成功完成!这不仅实现了神湾医院种植牙技术“零的突破”,更标志着神湾镇的居民们,从此在家门口就能享受到市级医院水平的种植牙服务!截至目前,已有近百名牙列缺损的患者在神湾医院,“足不出镇”,由市口腔医院牙齿种植的专家亲自操刀,彻底告别遗留已久的缺牙烦恼。实现“高质量、高效率、高品质”的医疗服务体验。


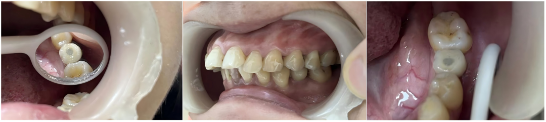
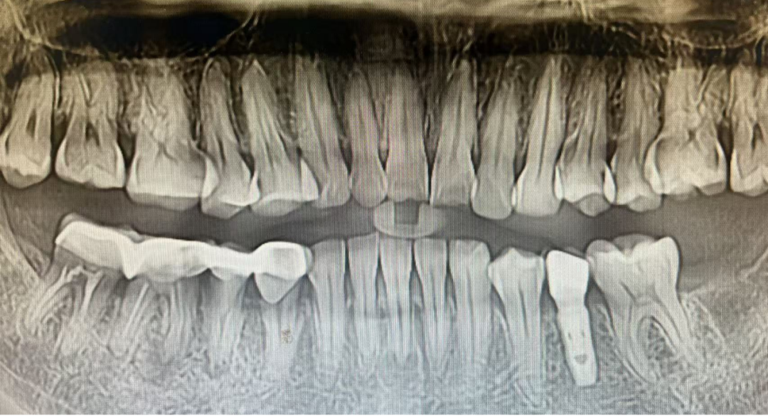
不同缺牙位点种植体X线影像


种植患者1年后口内复查照片及X线影像
近两年的深度合作,神湾医院口腔科已经锻造出一支技术过硬、经验丰富的专业团队,有望在将来为更多种牙需求的患者保驾护航。
科室介绍
目前拥有4张牙床,种植室1间,主治医师1人,医师2人,目前与中山市口腔医院签署了紧密型医联体,口腔医院每日派专家到神湾医院坐诊,可在神湾医院公众号预约挂号。目前,能够开展树脂补牙、玻璃离子补牙、根管治疗、龈下刮治、窝沟封闭、涂氟、阻生齿拔除、松动牙拔除、残冠拔除、冠周冲洗,以上项目都可享受医保报销;种植牙,龈上洁治、固定义齿修复、活动义齿修复、嵌体修复等美容修复类项目不可用医保报销。
口腔科咨询热线:0760-23699350
地址:中山市神湾镇沙岗村15号一楼口腔科
供稿科室:口腔科
一审:陈嘉健
二审:黄家熹
三审:张柳攀
推荐文章
-
孕期产检攻略知多少 十月怀胎,在等待这份“孕达”快递过程中,按时产检是保障母婴健康的关键,整个孕期不同孕周需要做什么检查呢,有什么检查意义呢,有什么注意事项呢,让我们一起来了解一下吧! 早孕(0-5周) 大姨妈没有来?是不是怀孕了?当怀疑自己怀孕了,及时到医院就诊,确认自己是否怀孕。 第一次产检:早孕7-10周 重点检查:确认是否宫内孕,确认宫内孕且胚胎有心管搏动,即可建档并办理定点产检医院,作为准妈妈第一次正式产检。 基本检查:血常规、尿常规、白带常规、肝肾功能、血糖、甲状腺功能、致畸四项、乙肝两对半、HIV、梅毒、丙肝、心电图等。(注意:下次产检预约NT) 第2次产检:孕11-13+6周 主要检查项目: NT:通过彩超了解胎儿颈后透明度,及早发现胎儿神经管缺陷、排查胎儿是否染色体异常或先天性心脏病等畸形。 第3次产检:孕16-20周 主要检查项目:产前筛查与产前诊断 唐氏筛查: 检查项目:21三体、18三体、 13三体、开放性神经管畸形。 检出率:60%~70% 适宜人群:适...
-
消除麻风危害 共筑健康中国 2026年1月25日是第73届“世界防治麻风病日”暨第39届“中国麻风节”。今年我国宣传活动的主题为“消除麻风危害,共建健康中国”,旨在坚持党政主导、部门协作、动员社会全民参与的综合防控机制,全力推进实现全面消除麻风危害的目标。引导社会公众了解麻风,进一步提高全民健康素养水平,消除歧视和偏见,形成全社会关心关爱麻风患者和治愈者的良好氛围,共同促进社会文明进步。 1、认识麻风病:它没那么可怕 1、麻风病是由麻风分枝杆菌引起的一种慢性、低传染性的疾病,主要侵犯皮肤、黏膜和周围神经。如果早期发现、及时规范治疗,不仅可以避免残疾,还能完全治愈,患者治愈后可正常生活、工作和社交。 2、传染源:未经治疗的麻风病患者。 3、传播途径:主要通过飞沫传播和密切接触传播,如与患者的呼吸道分泌物、皮肤接触等。此外,接触患者的分泌物、排泄物也可能传播麻风病。一般需要5年左右的潜伏期。 4、易感人群 : • 携带麻风易感基因的个体。 • 与麻风患者有血缘...
-
中山市神湾医院 中山市神湾医院创建于1958年,坐落于神湾镇中心区域,医疗辐射至珠海斗门以及中山南部组团镇区领域。是一所集医疗、预防、保健、康复、教学于一体的综合性医院,被评为国家胸痛中心、国家心衰中心。 医院占地面积7332.6平方米,建筑总面积10500平方米,目前拥有床位数160张,员工有213人,高级职称20人,中级职称51人,年门诊量23万余人次,年出院病人约9000人次。设内一科(ICU、内分泌、心血管)、内二科(儿科、呼吸)、妇产科、麻醉手术科、普外科、急诊科、口腔科、中医科、五官科、皮肤科等临床科室及辅助科室。医院设备先进,拥有螺旋CT机2台、德国数字化(DR)影像系统、牙科CT、四维彩超、腹腔镜系统、奥林巴斯肠镜系统以及ICU重症监护室等先进大型医疗设备。普外科、肛肠外科、中医康复、泌尿外科和内科是医院的特色科室。 目前,神湾医院与中山市口腔医院建立了紧密型医联体,让群众在家门口享受到三甲医院先进服务。2025年即将开展血液透析业务,已经加入市人民医院托管紧密型医联体,社会影响力和群众提升将大幅提升,为群众提...







